We are not a registered Medicaid Provider
Your Needs Take Precedence Here
We at Miro Dental Centers put your needs first, completely transforming the way dental care is provided. Our commitment to patient-focused dentistry is not just words, but the core of our practice. From the moment you step into our office, you will experience a tailored approach designed to make you feel at ease, address your worries, and achieve your dental goals.
A relaxing dental experience is waiting for you
Our caring team prioritizes your comfort, from soothing waiting areas to gentle procedures. Enjoy stress-free visits with us!
Compassion meets your dental needs at our practice
Experience dental care that combines compassion, empathy, and skill. Welcome to a place where expertise meets care.
happy smiles makes Happy patients
Join our community of satisfied patients who have not only received dental care but have also found happiness in their smiles. Explore their stories of transformation and satisfaction.
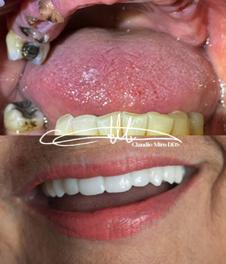
The Effect of Dental Implants on Your Smile and Quality of Life
Come see the incredible transformations and hear inspiring stories at our practice. Witness the before and after photos of our patients during your next visit.

Before
After

Before
After

Before
After

Before
After

Before
After

